Dental Crowns in Sunland Park, NM
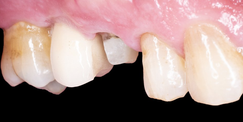
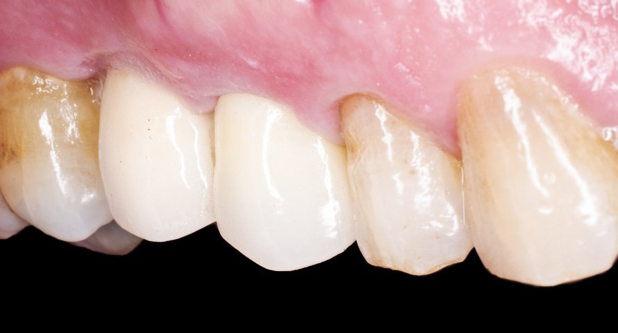
Over time, your teeth can get worn down and damaged. To protect a tooth and restore its size and shape, our experts at Sunland Dental can fit it with a custom-made dental crown.
A 
crown is basically a tooth-shaped cap that we secure on your natural tooth. The crown will be designed to match the shape, size, and color of your surrounding teeth. Once we have restored your tooth with a crown, your smile will look and feel as good as new. 
Do you need a dental crown to restore your smile? Call Sunland Dental at 
(575) 502 4422 to schedule your appointment today!
Reasons You May Need a Dental Crown
Wondering if a dental crown is the right treatment for your smile? Here are some common reasons our patients get dental crowns:
- Restore and protect a weak, broken, or cracked tooth
- Improve the appearance of a worn-down tooth
- Hold a dental bridge in place to replace missing teeth
- Attach to a dental implant to replace a missing tooth
- Cover and protect a tooth after a root canal treatment
- Cover a tooth with a large filling that has little natural tooth left
Do you have any dental health issues like the ones listed above? Call us today to schedule your appointment! Our experts will give you a thorough examination and help you decide if dental crowns are the right solution for you!
Different Types of Dental Crowns
Crowns can be made of different materials depending on your specific needs. Below are the most common types of crowns:
- Porcelain looks the most like natural teeth because of its light-reflecting properties
- Metal or gold are strong solutions for more conservative tooth restoration
- Stainless steel is used to restore baby teeth after extensive tooth decay
How to Take Care of Dental Crowns
With a proper oral hygiene routine at home and twice-yearly visits to the dentist, your crowns can last an average of 10 years. In order to keep your crown in good shape, it’s important to follow these good habits:
- Brush your teeth twice a day
- Floss between all of your teeth daily
- Use an antibacterial mouthwash every day
- Avoid chewing on hard foods or ice, biting fingernails, etc.
- Avoid using your teeth to open packaging
These simple actions can help your crown last longer and keep your smile looking great. 



